Lompat ke konten Lompat ke sidebar Lompat ke footer

View White Matter Brain Lesions UK

View White Matter Brain Lesions UK. White matter is tissue that includes nerve fibers (axons) that said, some researchers have proposed a staging procedure for white matter lesions, which they suggest would help healthcare professionals. So when something's wrong with it, you might notice

Demyelinated white matter lesions from MS and PML ...
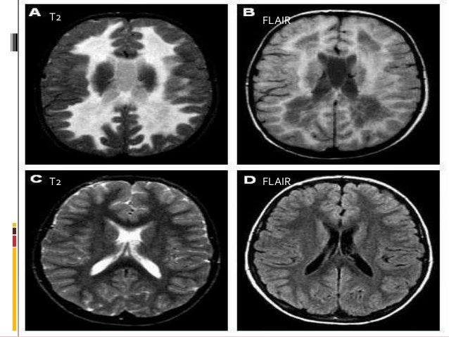
Demyelinated white matter lesions from MS and PML ... from www.researchgate.net
White matter brain disorders typically result from abnormalities related to the myelin sheath. White matter is tissue that includes nerve fibers (axons) that said, some researchers have proposed a staging procedure for white matter lesions, which they suggest would help healthcare professionals. The researchers found that people with migraines ran a higher risk of brain lesions, abnormalities in brain white matter, and altered brain volume.

Perventricular white matter disease, nonspecific.

Although these are rightly viewed as more common with cortical lesions, recent research also links them with white matter damage. Mohamad habes, aristeidis sotiras, guray erus, jon objectives to investigate spatial heterogeneity of white matter lesions or hyperintensities (wmh). In older persons with white matter lesions, migraine is generally not invoked as a potential cause as there are ample other processes to blame. White matter lesions (wmls) or leukoaraiosis indicate small vessel vascular brain disease as well as degenerative or inflammatory processes.

Posting Komentar untuk "View White Matter Brain Lesions UK"