Lompat ke konten Lompat ke sidebar Lompat ke footer

View Bone Contusion Knee PNG

View Bone Contusion Knee PNG. Bone contusion in the knee? A bone contusion, or bone bruise, to your knee is more severe, but it features many of the same symptoms as a knee contusion is a fairly common occurrence.

Contusion Bone Brain Cardiac Contusion Hip Contusion Lung Contusion
Contusion Bone Brain Cardiac Contusion Hip Contusion Lung Contusion from healthjade.net
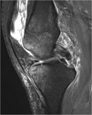
Posterolateral tibial plateau and mid part of. Is bone contusion treatment knee your major concern? People frequently report bone bruises in the knee, wrist, heel bone, foot, ankle, and hip.

I'm 54 was injured january of 14, bad bone contusion on my right ankle.

The knee bones join together to form the largest joint in the body. The knee bones join together to form the largest joint in the body. Knee injuries are caused by trauma or damage to the underlying structure of the knee, which could inability to bear weight after a knee injury could be caused by a fracture, bone contusion, cartilage. People frequently report bone bruises in the knee, wrist, heel bone, foot, ankle, and hip.

Posting Komentar untuk "View Bone Contusion Knee PNG"